Aunque es una enfermedad que no tiene cura, se puede convivir con ella con un buen control y medicación adecuada. Evitar fumar es lo primero. Si tienes problemas para dejar de fumar, llama al 140 desde donde recibirás orientación y ayuda para el abandono del hábito.
La enfermedad pulmonar obstructiva crónica (EPOC) afecta principalmente a aquellas personas que cuentan con antecedente del hábito tabáquico o que realizan trabajo de riesgo que incluye la exposición prolongada de humo de cualquier tipo. Cardiopatías, osteoporosis, trastornos osteomusculares, cáncer de pulmón, depresión o ansiedad, son algunas enfermedades que con frecuencia padecen las personas con EPOC.
A medida que se agrava la enfermedad es más difícil realizar las actividades cotidianas habituales, a menudo a causa de la falta de aire. La enfermedad puede tener consecuencias económicas considerables debidas a la limitación de la productividad en el trabajo, en el hogar y al coste del tratamiento médico.
Durante las exacerbaciones se produce un marcado empeoramiento de los síntomas, por lo que puede ser necesario tratar al enfermo a domicilio o ingresarlo de urgencia al hospital. Las exacerbaciones graves pueden ser letales.
Diagnóstico y tratamiento
La EPOC no tiene cura, pero el diagnóstico y tratamiento tempranos son importantes para frenar el empeoramiento de los síntomas y reducir el riesgo que se produzcan exacerbaciones.
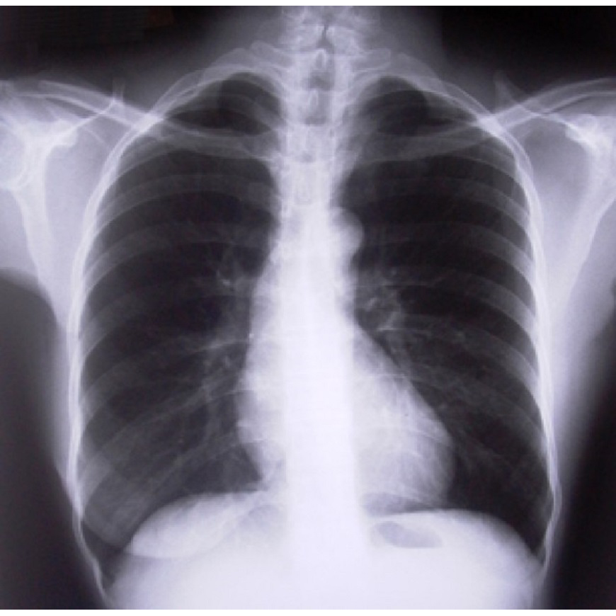
El diagnóstico para determinar si tienes EPOC se basa en los síntomas, un examen físico y los resultados de las pruebas de diagnóstico. La Espirometría es una prueba no invasiva para evaluar la función pulmonar. Durante la prueba, se respira profundamente y luego se sopla por un tubo conectado al espirómetro. También se cuenta con pruebas por imágenes que incluyen una radiografía de tórax o una tomografía computarizada. Las imágenes pueden proporcionar una vista detallada de los pulmones, vasos sanguíneos y corazón. Estas pruebas contribuirán además a detectar alguna otra afección diferente como asma, una enfermedad pulmonar restrictiva o insuficiencia cardíaca.
El tratamiento es de por vida, implica seguir los consejos de tu equipo médico y mantener hábitos de vida saludables.
Desde el Programa Nacional de Control del Tabaquismo y Enfermedades Crónicas (PRONATERC) recomiendan como primera medida dejar de fumar.
- Si tienes problemas para dejar de fumar, llama al 140 donde recibirás orientación y ayuda para el abandono del hábito.
- Trata de evitar el humo de segunda mano, los vapores químicos, la contaminación del aire y el polvo.
- Un poco de ejercicio todos los días puede ayudarte a mantenerte fuerte. Habla con tu médico acerca de cuánto ejercicio es bueno para ti.
- Sigue una dieta que involucre alimentos nutritivos. Evita los alimentos altamente procesados, ya que están cargados de calorías y sal, pero carecen de nutrientes.
- Si tienes otras enfermedades crónicas además de la EPOC, es importante controlarlas también, en particular la diabetes mellitus y las enfermedades cardíacas.
- Ordena y optimiza tu hogar para que necesites menos energía para limpiar y hacer otras tareas domésticas. Si tienes una etapa avanzada de EPOC, busca ayuda con las tareas diarias.

